東元綜合醫院骨科主任 黃盈誠 醫師

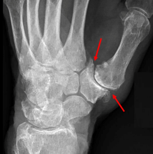
基底關節炎(basal joint arthritis),是一種發生在手上的退化性關節炎,發生位置是於手掌的大拇指「腕掌關節的骨關節炎(carpometacarpal joint arthritis)」。通常發生於中年女性。病患會有大拇指基部疼痛、僵硬、大拇指基部附近的壓痛及腫脹,嚴重的病症會影響拇指活動角度,拇指無力,而更甚著會有關節變形的狀況。

病因通常會是因為過度使用,進而使基底關節的軟骨磨損,及基底關節旁的韌帶鬆馳弱化。有些病患曾經發生車禍或是外傷,也會有類似的症狀。
治療上,初期的病患經過充份休息及拇指加強型護具固定,大多會自行緩解,配合復健及使用消炎藥物緩解疼痛。但倘若關節發炎至退化的程度,基底關節開始出現腫脹、變型或突出等狀況影響到日常生活,如寫字、抓握動作無力,此時的基底關節炎可能已發展至後期,更嚴重者會有疼痛加劇,疼痛影響睡眠及生活品質,就可能要進一步接受局部注射或手術治療。
手術治療方式會根據病患的年齡及嚴重度而調整,包括微創關節鏡手術、關節融合、大多角骨切除合併韌帶重建或人工韌帶懸吊,人工關節置換等等。
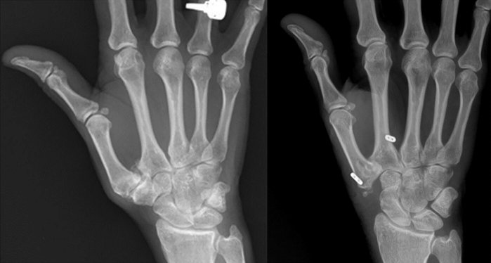
2010年美國史丹佛大學Jeffrey Yao教授發表了縫線鈕扣懸吊(suture button suspensionplasty)的手術方式治療基底關節炎,利用懸吊固定掌骨進一步增加關節穩定度,配合關節鏡微創手術進行。研究發現懸吊手術術後的復原較快,大拇指活動度及病人滿意度都相當高。

手術後約三個月必須配合醫囑,無法劇烈活動,並需護具保護,且須配合復健治療以盡早恢復大拇指活動度及抓握力量。 術後可能會有的併發症包括局部皮膚麻木、疼痛,但大多會隨著時間漸漸緩解,可搭配藥物治療、局部注射,及復健治療。
| 醫師簡介 | ||||||
![]() |
學經歷 國防醫學院醫學系 日本奈良醫科大學手外科臨床研究員 中華民國骨科醫學會專科醫師 台灣手外科醫學會專科醫師 台北榮民總醫院新竹分院骨科主治醫師 高雄榮民總醫院骨科部總醫師 中華民國骨質疏鬆症學會專科醫師 台灣增生療法醫學會會員 專長 骨折、手外科、關節退化、人工關節置換、微創手術、關節鏡、骨質疏鬆、增生療法 |
|||||
黃盈誠 醫師
|
||||||
| 點此查看門診時刻表 | ||||||
東元醫療社團法人東元綜合醫院 © 2016 Ton-Yen General Hospital All Rights Reserved.