東元綜合醫院放射科 謝盛林 醫師

髕骨下脂肪墊症候群或髕骨下脂肪墊炎(Hoffa's fat pad syndrome),是指位於髕骨(膝蓋骨)下方、髕骨韌帶後方的脂肪墊,因受到壓迫、夾擠或撞擊等刺激而引發的發炎反應,導致膝蓋前側疼痛的現象。
髕骨下脂肪墊是一種富有彈性的脂肪組織,具有豐富的血管和神經末梢,能吸收衝擊、在膝蓋活動時保護膝關節。當膝關節受到過度使用、直接撞擊或夾擠時,髕骨下脂肪墊可能會受傷、發炎或產生沾黏。
腱鞘囊腫或稱神經節囊腫是一種發生在關節囊或肌腱腱鞘附近的良性腫塊,內含黏液,最常見於手腕和手部,但也可發生於身體其他部位。當腱鞘囊腫長在髕骨下脂肪墊時也有可能造成刺激、發炎以及因腫塊效應造成擠壓或撞擊等症狀,最終導致膝前疼痛。
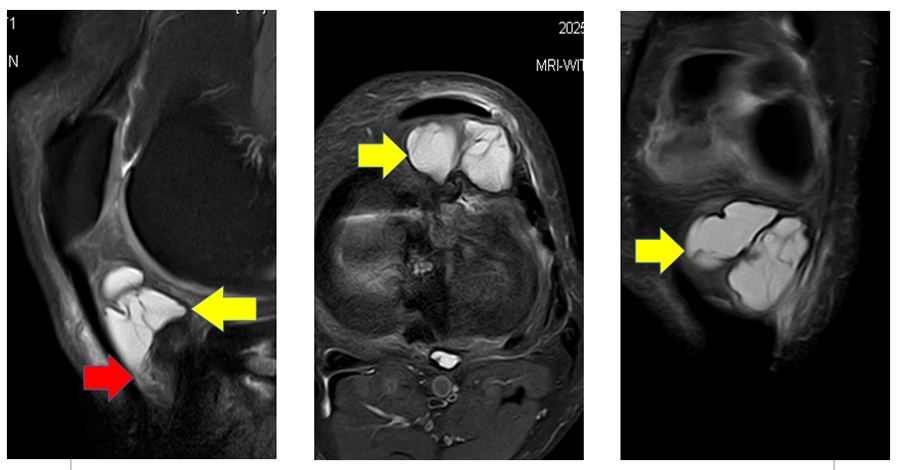
一位40歲女性因左膝疼痛及摸到腫塊求診骨科門診,初步X光檢查並無明顯異常發現。進一步磁振造影檢查則發現左側膝蓋於髕骨下方、髕骨韌帶後方的脂肪墊內有一群囊腫樣病灶聚集並且造成周邊組織水腫,其他膝蓋重要韌帶、肌腱及半月板等結構沒有明顯異常發現,也沒有關節腔積水。依照影像發現及臨床症狀判定為因腱鞘囊腫引起的髕骨下脂肪墊症候群。(如圖 A)
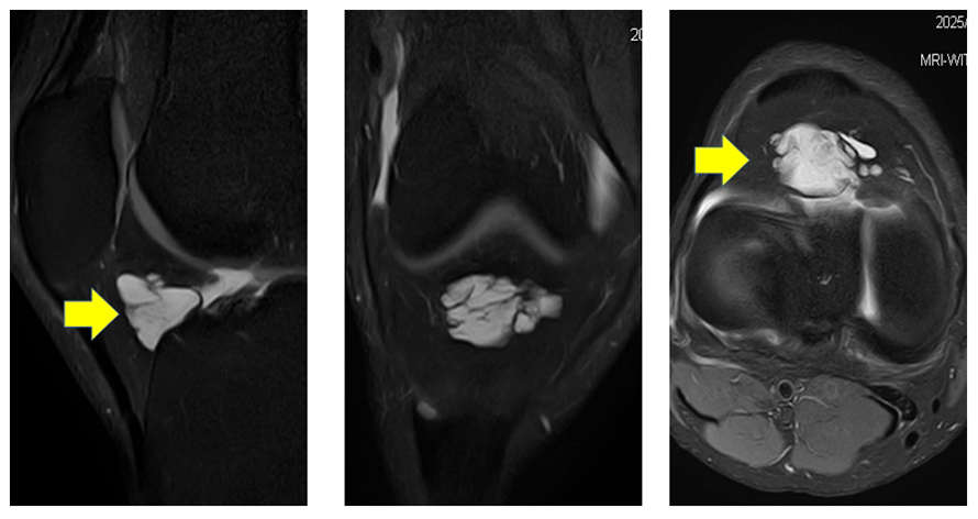
另一位34 歲男性因右膝前中線壓痛求診骨科門診,初步X光檢查也無明顯異常發現。進一步磁振造影檢查則發現於右側膝蓋髕骨下脂肪墊下方有一群囊腫樣病灶聚集,周邊有少量關節腔積水及組織水腫。同樣的其他膝蓋重要韌帶、肌腱及半月板等結構沒有明顯異常。依照影像發現及臨床症狀也判定為因腱鞘囊腫引起的髕骨下脂肪墊症候群。(如圖 B)
圖 A 左膝 髕骨下方脂肪墊內有一群囊腫樣病灶聚集(黃色箭頭)造成周邊組織水腫(紅色箭頭)
圖 B 右膝 髕骨下方脂肪墊下有一群囊腫樣病灶聚集(黃色箭頭)
Hoffa's fat pad syndrome 中文稱作髕骨下脂肪墊炎或髕骨下脂肪墊症候群,是指位於膝蓋骨(髕骨)下方、髕骨韌帶後方的髕骨下脂肪墊,因受到過度壓迫、撞擊或發炎而引起的疼痛和不適。這種狀況通常會導致膝蓋前側疼痛,特別是在膝蓋伸直時,可能伴隨壓痛、腫脹感,嚴重時會影響膝蓋活動。
腱鞘囊腫是造成髕骨下脂肪墊症候群的原因之一,但不是非常常見。診斷方式主要靠磁振造影檢查、磁振造影檢查可正確與其他情況做鑑別診斷。治療方式主要是手術摘除腱鞘囊腫以減少異物磨差與腫塊壓迫效應。
| 醫師簡介 | ||||||
![]() |
學經歷 國防醫學院 醫學系畢業 台北榮民總醫院放射線部 住院醫師 台北榮民總醫院放射線部 總醫師 台北榮民總醫院放射線部 主治醫師 桃園榮民總醫院放射科 主治醫師 桃園榮民總醫院放射科 代主任 桃園榮民總醫院放射科 超音波室主任 專長 一般影像診斷(X光、電腦斷層、 磁振造影、乳房攝影) 各項超音波 檢查(頭頸部、乳房、 腹部、四肢...等)、 影像導引介入性診療 |
|||||
謝盛林 放射科主任 |
||||||
東元醫療社團法人東元綜合醫院 © 2016 Ton-Yen General Hospital All Rights Reserved.